/ EN
Technical Support
| Contact Us
+1 312-802-6843
Technical Support
Contact Us
+1 312-802-6843
/ EN
Recover password
Professional Email
Verification Code
Send Code
Password
Goat Anti-Rabbit IgG H&L pAb (HRP Conjugate)
Catalog Number: PTM-6261
References (5)
$ 135

Clone Number: /

Host: Goat Clonality: Polyclonal

Applications: WB IHC-P

Reactivity: Rabbit

Synonyms: /

Product Size
1 ml
Quantity

Shipping: Ambient temperature

Order online or send purchase order to info@ptmbio.com

FAQ Technical Support Protocols

General Information
Isotype /
Conjugate HRP
Synonyms /
UniProt ID

/

Immunogen Rabbit IgG
MW (kDa) /
Specificity Goat Anti-Rabbit IgG H&L pAb pAb (HRP Conjugate) is conjugated to horseradish peroxidase (HRP Conjugate) for chemiluminescent detection as a secondary antibody. The antibody recognizes heavy chain and light chain of rabbit IgG.
Product Usage Information
Applications Dilution Recommended Species
ELISA 1:2000 - 1:10000 Rabbit
WB 1:2000 - 1:10000 Rabbit
IHC-P 1:50 - 1:100 Rabbit
Properties
Purity Immunogen affinity purified
Constituents PBS, Glycerol, BSA
Storage Store at -20°C. Avoid freeze/thaw cycles.
Stability Stable for 12 months from date of receipt/reconstitution.
Target Information

Background

Immunoglobulin G (IgG) is the predominant immunoglobulin class present in rabbit serum, and is also the most common isotype in rabbit polyclonal and monoclonal research antibodies. Unlike mouse and rat IgG which have multiple subclasses, rabbit IgG only contains one single subclass. A typical IgG is composed of two identical heavy chains of 50 kDa each joined by disulfide bonds to two light chains of approximately 25 kDa.

Cellular location

Secreted

Images
WB

Lysate: HeLa cells
Protein loading amount: 20 μg
Blocking buffer: 5% NFDM/TBST
Primary Ab: PTM-5442, Anti-alpha Tubulin Rabbit mAb
Primary Ab dilution: 1:2000
Primary Ab incubation: 2 hours at room temperature
Secondary Ab: PTM-6261, Goat Anti-Rabbit IgG H&L pAb (HRP Conjugate)
Secondary Ab dilution: 1:10000
Secondary Ab incubation condition: 45 minutes at room temperature
Exposure time: 10 seconds
Predicted band size: 50 kDa
Observed band size: 50 kDa

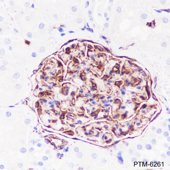
IHC-P

Tissue: Human kidney
Section type: Formalin-fixed & paraffin-embedded section
Retrieval method: High temperature and high pressure
Retrieval buffer: Tris/EDTA buffer, pH 9.0
Primary Ab: PTM-5376, Anti-Vimentin Rabbit mAb
Secondary Ab dilution: 1:100
Secondary Ab incubation condition: 30 minutes at room temperature
Counter stain: Hematoxylin (blue)
Description: The brown color represents the positive signal observed with secondary antibody PTM-6261.

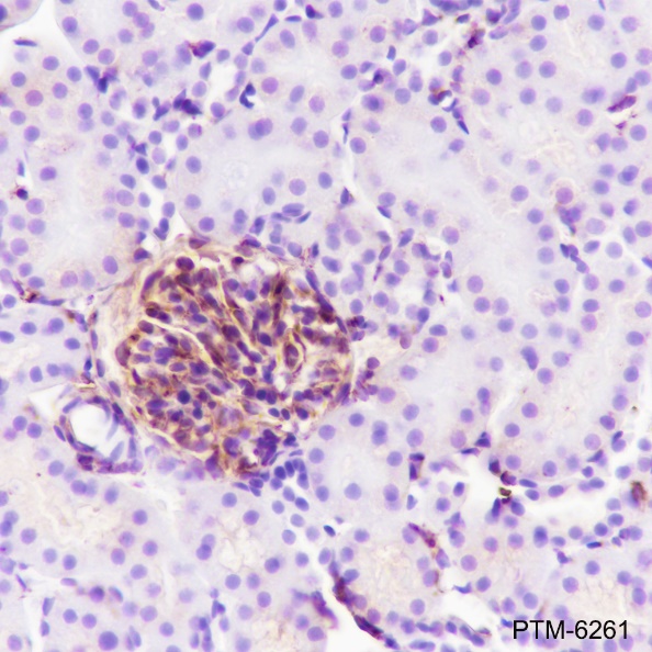
Tissue: Mouse kidney
Section type: Formalin-fixed & paraffin-embedded section
Retrieval method: High temperature and high pressure
Retrieval buffer: Tris/EDTA buffer, pH 9.0
Primary Ab: PTM-5376, Anti-Vimentin Rabbit mAb
Secondary Ab dilution: 1:100
Secondary Ab incubation condition: 30 minutes at room temperature
Counter stain: Hematoxylin (blue)
Description: The brown color represents the positive signal observed with secondary antibody PTM-6261.

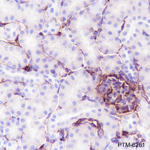
Tissue: Rat kidney
Section type: Formalin-fixed & paraffin-embedded section
Retrieval method: High temperature and high pressure
Retrieval buffer: Tris/EDTA buffer, pH 9.0
Primary Ab: PTM-5376, Anti-Vimentin Rabbit mAb
Secondary Ab dilution: 1:100
Secondary Ab incubation condition: 30 minutes at room temperature
Counter stain: Hematoxylin (blue)
Description: The brown color represents the positive signal observed with secondary antibody PTM-6261.

Research Use

For research use only, not for use in diagnostic procedures.

Recommended Products
  • View More Images(1)
    $ 90
    Goat Anti-Rabbit IgG H&L pAb
    Catalog #
    PTM-6252
    Host
    Goat
    Clonality
    Polyclonal
    Conjugate
    Unconjugated
    Reactivity
    Rabbit
    Applications:
    WB IHC-P ICC/IF FC IAP IP ChIP mIHC-P CUT&Tag
References (5)
  • PSAT1 knockdown mediated VDAC1 oligomerization promotes ferroptosis and suppresses cell proliferation in esophageal squamous cell carcinoma
    Year 2025
    Journal INTERNATIONAL JOURNAL OF BIOLOGICAL MACROMOLECULES
    Authors Ruili Ren, et al.
    Applications Unspecified
    Reactivity
  • Polydatin ameliorates ovalbumin-induced asthma in a rat model through NCOA4-mediated ferroautophagy and ferroptosis pathway
    Year 2025
    Journal FEBS Open Bio
    Authors Wei Li, et al.
    Applications Unspecified
    Reactivity
  • Glucomannogalactan inhibits senescence by promoting nuclear translocation of NRF2
    Year 2025
    Journal INTERNATIONAL JOURNAL OF BIOLOGICAL MACROMOLECULES
    Authors Zhenhua Liang, et al.
    Applications Unspecified
    Reactivity
  • Aronia melanocarpa extract extends lifespan and health-span in Caenorhabditis elegans via mitogen-activated protein kinase 1
    Year 2024
    Journal Food & Function
    Authors Huan Zhang, et al.
    Applications Unspecified
    Reactivity
  • Structure of histone deacetylase complex Rpd3S bound to nucleosome
    Year 2023
    Journal NATURE STRUCTURAL & MOLECULAR BIOLOGY
    Authors Li Wulong, et al.
    Applications Unspecified
    Reactivity