/ EN
Technical Support
| Contact Us
+1 312-802-6843
Technical Support
Contact Us
+1 312-802-6843
/ EN
Recover password
Professional Email
Verification Code
Send Code
Password
Interested In Promotion? Click here
Cancer Epigenetic Products

Epigenetic changes cooperate with genetic alterations to play key roles in cancer initiation and progression. These changes involve DNA methylation, histone modification, histone modifying enzymes, and chromatin remodeling that regulate gene expression. PTMab® antibodies spanning important epigenetic markers, regulators, and histone modifications offers critical tools for cancer epigenetics, to enable studies in mechanism underlying cancer phenotypes and provide implications for cancer detection, prevention, and even treatment. Here are our products for key cancer epigenetic targets relevant to:

Cytosine nucleotides on DNA can be modified by methyl and hydroxymethyl groups under the regulation of regulation of DNA methyltransferases (DNMTs) and ten-eleven translocation (TET) enzymes. Aberrant methylation and hydroxymethylation patterns are found in human tumors and associated with developmental abnormalities.
  • Recombinant Rabbit Monoclonal
    $280
    Catalog #
    PTM-7322
    Host
    Rabbit
    Clonality
    Recombinant Monoclonal
    Conjugate
    Unconjugated
    Reactivity
    Human,Mouse,Rat
    Applications:
    WB
    IHC-P
    ICC/IF
    FC
    IAP
    IP
    ChIP
    mIHC-P
    CUT&Tag
  • Recombinant
    $280
    Catalog #
    PTM-7390
    Host
    Mouse
    Clonality
    Recombinant Monoclonal
    Conjugate
    Unconjugated
    Reactivity
    Human
    Applications:
    WB
    IHC-P
    ICC/IF
    FC
    IAP
    IP
    ChIP
    mIHC-P
    CUT&Tag
  • Recombinant
    $290
    Catalog #
    PTM-7412
    Host
    Mouse
    Clonality
    Recombinant Monoclonal
    Conjugate
    Unconjugated
    Reactivity
    Human
    Applications:
    WB
    IHC-P
    ICC/IF
    FC
    IAP
    IP
    ChIP
    mIHC-P
    CUT&Tag
  • Recombinant
    $280
    Catalog #
    PTM-7411
    Host
    Mouse
    Clonality
    Recombinant Monoclonal
    Conjugate
    Unconjugated
    Reactivity
    Human
    Applications:
    WB
    IHC-P
    ICC/IF
    FC
    IAP
    IP
    ChIP
    mIHC-P
    CUT&Tag
  • Recombinant Rabbit Monoclonal
    $280
    Catalog #
    PTM-7458
    Host
    Rabbit
    Clonality
    Recombinant Monoclonal
    Conjugate
    Unconjugated
    Reactivity
    Human
    Applications:
    WB
    IHC-P
    ICC/IF
    FC
    IAP
    IP
    ChIP
    mIHC-P
    CUT&Tag
  • Recombinant Rabbit Monoclonal
    $280
    Catalog #
    PTM-7448
    Host
    Rabbit
    Clonality
    Recombinant Monoclonal
    Conjugate
    Unconjugated
    Reactivity
    Human
    Applications:
    WB
    IHC-P
    ICC/IF
    FC
    IAP
    IP
    ChIP
    mIHC-P
    CUT&Tag
  • $320
    Catalog #
    PTM-6945
    Host
    Rabbit
    Clonality
    Polyclonal
    Conjugate
    Unconjugated
    Reactivity
    Human,Mouse
    Applications:
    WB
    IHC-P
    ICC/IF
    FC
    IAP
    IP
    ChIP
    mIHC-P
    CUT&Tag
  • Recombinant Rabbit Monoclonal
    $290
    Catalog #
    PTM-6892
    Host
    Rabbit
    Clonality
    Recombinant Monoclonal
    Conjugate
    Unconjugated
    Reactivity
    Human,Mouse,Rat
    Applications:
    WB
    IHC-P
    ICC/IF
    FC
    IAP
    IP
    ChIP
    mIHC-P
    CUT&Tag
  • Recombinant Rabbit Monoclonal
    $300
    Catalog #
    PTM-6323
    Host
    Rabbit
    Clonality
    Recombinant Monoclonal
    Conjugate
    Unconjugated
    Reactivity
    Human,Mouse
    Applications:
    WB
    IHC-P
    ICC/IF
    FC
    IAP
    IP
    ChIP
    mIHC-P
    CUT&Tag
  • Recombinant
    $280
    Catalog #
    PTM-6070
    Host
    Mouse
    Clonality
    Recombinant Monoclonal
    Conjugate
    Unconjugated
    Reactivity
    Human,Mouse,Rat
    Applications:
    WB
    IHC-P
    ICC/IF
    FC
    IAP
    IP
    ChIP
    mIHC-P
    CUT&Tag
  • Recombinant
    $280
    Catalog #
    PTM-7188
    Host
    Mouse
    Clonality
    Recombinant Monoclonal
    Conjugate
    Unconjugated
    Reactivity
    Human
    Applications:
    WB
    IHC-P
    ICC/IF
    FC
    IAP
    IP
    ChIP
    mIHC-P
    CUT&Tag
  • Recombinant
    $280
    Catalog #
    PTM-6383
    Host
    Mouse
    Clonality
    Recombinant Monoclonal
    Conjugate
    Unconjugated
    Reactivity
    Human,Mouse,Rat
    Applications:
    WB
    IHC-P
    ICC/IF
    FC
    IAP
    IP
    ChIP
    mIHC-P
    CUT&Tag
  • Recombinant Rabbit Monoclonal
    $285
    Catalog #
    PTM-6338
    Host
    Rabbit
    Clonality
    Recombinant Monoclonal
    Conjugate
    Unconjugated
    Reactivity
    Human
    Applications:
    WB
    IHC-P
    ICC/IF
    FC
    IAP
    IP
    ChIP
    mIHC-P
    CUT&Tag
  • Recombinant Rabbit Monoclonal
    $290
    Catalog #
    PTM-6213
    Host
    Rabbit
    Clonality
    Recombinant Monoclonal
    Conjugate
    Unconjugated
    Reactivity
    Human
    Applications:
    WB
    IHC-P
    ICC/IF
    FC
    IAP
    IP
    ChIP
    mIHC-P
    CUT&Tag
  • Recombinant
    $285
    Catalog #
    PTM-6006
    Host
    Mouse
    Clonality
    Recombinant Monoclonal
    Conjugate
    Unconjugated
    Reactivity
    Human,Rat
    Applications:
    WB
    IHC-P
    ICC/IF
    FC
    IAP
    IP
    ChIP
    mIHC-P
    CUT&Tag
  • Recombinant
    $285
    Catalog #
    PTM-6074
    Host
    Mouse
    Clonality
    Recombinant Monoclonal
    Conjugate
    Unconjugated
    Reactivity
    Human,Mouse
    Applications:
    WB
    IHC-P
    ICC/IF
    FC
    IAP
    IP
    ChIP
    mIHC-P
    CUT&Tag
  • Recombinant
    $285
    Catalog #
    PTM-5333
    Host
    Mouse
    Clonality
    Recombinant Monoclonal
    Conjugate
    Unconjugated
    Reactivity
    Human,Mouse,Rat,Monkey
    Applications:
    WB
    IHC-P
    ICC/IF
    FC
    IAP
    IP
    ChIP
    mIHC-P
    CUT&Tag
  • Recombinant
    $285
    Catalog #
    PTM-5365
    Host
    Mouse
    Clonality
    Recombinant Monoclonal
    Conjugate
    Unconjugated
    Reactivity
    Human
    Applications:
    WB
    IHC-P
    ICC/IF
    FC
    IAP
    IP
    ChIP
    mIHC-P
    CUT&Tag
  • Recombinant
    $125
    Catalog #
    PTM-5187
    Host
    Mouse
    Clonality
    Recombinant Monoclonal
    Conjugate
    Unconjugated
    Reactivity
    Human,Mouse,Rat
    Applications:
    WB
    IHC-P
    ICC/IF
    FC
    IAP
    IP
    ChIP
    mIHC-P
    CUT&Tag
  • Recombinant
    $280
    Catalog #
    PTM-5172
    Host
    Mouse
    Clonality
    Recombinant Monoclonal
    Conjugate
    Unconjugated
    Reactivity
    Human
    Applications:
    WB
    IHC-P
    ICC/IF
    FC
    IAP
    IP
    ChIP
    mIHC-P
    CUT&Tag
  • Recombinant
    $280
    Catalog #
    PTM-5183
    Host
    Mouse
    Clonality
    Recombinant Monoclonal
    Conjugate
    Unconjugated
    Reactivity
    Human,Mouse,Rat
    Applications:
    WB
    IHC-P
    ICC/IF
    FC
    IAP
    IP
    ChIP
    mIHC-P
    CUT&Tag
  • Recombinant
    $280
    Catalog #
    PTM-5410
    Host
    Mouse
    Clonality
    Recombinant Monoclonal
    Conjugate
    Unconjugated
    Reactivity
    Human
    Applications:
    WB
    IHC-P
    ICC/IF
    FC
    IAP
    IP
    ChIP
    mIHC-P
    CUT&Tag
  • Recombinant
    $280
    Catalog #
    PTM-5406
    Host
    Mouse
    Clonality
    Recombinant Monoclonal
    Conjugate
    Unconjugated
    Reactivity
    Human
    Applications:
    WB
    IHC-P
    ICC/IF
    FC
    IAP
    IP
    ChIP
    mIHC-P
    CUT&Tag
  • Recombinant
    $280
    Catalog #
    PTM-755
    Host
    Mouse
    Clonality
    Recombinant Monoclonal
    Conjugate
    Unconjugated
    Reactivity
    Human
    Applications:
    WB
    IHC-P
    ICC/IF
    FC
    IAP
    IP
    ChIP
    mIHC-P
    CUT&Tag
RNA modifications occur on all four bases of RNA and are the most abundant in transfer RNA (tRNA) and ribosomal RNA (rRNA). Modifications such as N6-methyladenosine (m6A), 5-methylcytosine (m5C) and pseudouridine (Ψ) are closely related to various cancers.
  • Recombinant
    $280
    Catalog #
    PTM-5854
    Host
    Mouse
    Clonality
    Recombinant Monoclonal
    Conjugate
    Unconjugated
    Reactivity
    Human,Mouse
    Applications:
    WB
    IHC-P
    ICC/IF
    FC
    IAP
    IP
    ChIP
    mIHC-P
    CUT&Tag
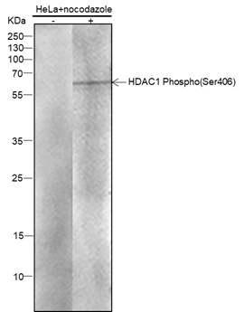
Post-translational modifications of histones are involved in transcription, chromatin structure, and DNA repair. We have developed over 300 histone modification antibodies, featuring the most comprehensive connection to specific marks, including both well-known (lysine acetylation and methylation), and recently identified histone marks (lysine lactylation, succinylation, crotonylation, and β-hydroxybutyryation).
Histone modifications consist of three major components: Writers (enzymes that add modifications), Readers (modification-recognizing proteins), and Erasers (enzymes that remove modifications). Mutations and misregulation of histone modifiers are found in various types of cancers and many of these proteins have become targets of drug discovery.
  • Recombinant Rabbit Monoclonal
    $280
    Catalog #
    PTM-7292
    Host
    Rabbit
    Clonality
    Recombinant Monoclonal
    Conjugate
    Unconjugated
    Reactivity
    Human
    Applications:
    WB
    IHC-P
    ICC/IF
    FC
    IAP
    IP
    ChIP
    mIHC-P
    CUT&Tag
  • Recombinant Rabbit Monoclonal
    $285
    Catalog #
    PTM-7306
    Host
    Rabbit
    Clonality
    Recombinant Monoclonal
    Conjugate
    Unconjugated
    Reactivity
    Human
    Applications:
    WB
    IHC-P
    ICC/IF
    FC
    IAP
    IP
    ChIP
    mIHC-P
    CUT&Tag
  • Recombinant Rabbit Monoclonal
    $280
    Catalog #
    PTM-7321
    Host
    Rabbit
    Clonality
    Recombinant Monoclonal
    Conjugate
    Unconjugated
    Reactivity
    Human,Rat
    Applications:
    WB
    IHC-P
    ICC/IF
    FC
    IAP
    IP
    ChIP
    mIHC-P
    CUT&Tag
  • Recombinant
    $280
    Catalog #
    PTM-7389
    Host
    Mouse
    Clonality
    Recombinant Monoclonal
    Conjugate
    Unconjugated
    Reactivity
    Human,Mouse,Rat
    Applications:
    WB
    IHC-P
    ICC/IF
    FC
    IAP
    IP
    ChIP
    mIHC-P
    CUT&Tag
  • Recombinant Rabbit Monoclonal
    $280
    Catalog #
    PTM-7414
    Host
    Rabbit
    Clonality
    Recombinant Monoclonal
    Conjugate
    Unconjugated
    Reactivity
    Human,Mouse,Rat
    Applications:
    WB
    IHC-P
    ICC/IF
    FC
    IAP
    IP
    ChIP
    mIHC-P
    CUT&Tag
  • Recombinant Rabbit Monoclonal
    $290
    Catalog #
    PTM-7462
    Host
    Rabbit
    Clonality
    Recombinant Monoclonal
    Conjugate
    Unconjugated
    Reactivity
    Human,Mouse,Rat
    Applications:
    WB
    IHC-P
    ICC/IF
    FC
    IAP
    IP
    ChIP
    mIHC-P
    CUT&Tag
  • Recombinant Rabbit Monoclonal
    $280
    Catalog #
    PTM-7197
    Host
    Rabbit
    Clonality
    Recombinant Monoclonal
    Conjugate
    Unconjugated
    Reactivity
    Human
    Applications:
    WB
    IHC-P
    ICC/IF
    FC
    IAP
    IP
    ChIP
    mIHC-P
    CUT&Tag
  • $290
    Catalog #
    PTM-7009
    Host
    Rabbit
    Clonality
    Polyclonal
    Conjugate
    Unconjugated
    Reactivity
    Human
    Applications:
    WB
    IHC-P
    ICC/IF
    FC
    IAP
    IP
    ChIP
    mIHC-P
    CUT&Tag
  • Recombinant Rabbit Monoclonal
    $280
    Catalog #
    PTM-7231
    Host
    Rabbit
    Clonality
    Recombinant Monoclonal
    Conjugate
    Unconjugated
    Reactivity
    Mouse,Rat
    Applications:
    WB
    IHC-P
    ICC/IF
    FC
    IAP
    IP
    ChIP
    mIHC-P
    CUT&Tag
  • Recombinant
    $280
    Catalog #
    PTM-7127
    Host
    Mouse
    Clonality
    Recombinant Monoclonal
    Conjugate
    Unconjugated
    Reactivity
    Human,Mouse
    Applications:
    WB
    IHC-P
    ICC/IF
    FC
    IAP
    IP
    ChIP
    mIHC-P
    CUT&Tag
  • Recombinant Rabbit Monoclonal
    $310
    Catalog #
    PTM-6601
    Host
    Rabbit
    Clonality
    Recombinant Monoclonal
    Conjugate
    Unconjugated
    Reactivity
    Human
    Applications:
    WB
    IHC-P
    ICC/IF
    FC
    IAP
    IP
    ChIP
    mIHC-P
    CUT&Tag
  • Recombinant Rabbit Monoclonal
    $290
    Catalog #
    PTM-6700
    Host
    Rabbit
    Clonality
    Recombinant Monoclonal
    Conjugate
    Unconjugated
    Reactivity
    Human,Mouse,Rat
    Applications:
    WB
    IHC-P
    ICC/IF
    FC
    IAP
    IP
    ChIP
    mIHC-P
    CUT&Tag
  • Recombinant Rabbit Monoclonal
    $280
    Catalog #
    PTM-6658
    Host
    Rabbit
    Clonality
    Recombinant Monoclonal
    Conjugate
    Unconjugated
    Reactivity
    Human,Mouse,Rat
    Applications:
    WB
    IHC-P
    ICC/IF
    FC
    IAP
    IP
    ChIP
    mIHC-P
    CUT&Tag
  • Recombinant Rabbit Monoclonal
    $290
    Catalog #
    PTM-6605
    Host
    Rabbit
    Clonality
    Recombinant Monoclonal
    Conjugate
    Unconjugated
    Reactivity
    Human,Mouse,Rat
    Applications:
    WB
    IHC-P
    ICC/IF
    FC
    IAP
    IP
    ChIP
    mIHC-P
    CUT&Tag
  • Recombinant
    $280
    Catalog #
    PTM-6310
    Host
    Mouse
    Clonality
    Recombinant Monoclonal
    Conjugate
    Unconjugated
    Reactivity
    Human,Mouse,Rat
    Applications:
    WB
    IHC-P
    ICC/IF
    FC
    IAP
    IP
    ChIP
    mIHC-P
    CUT&Tag
  • Recombinant Rabbit Monoclonal
    $290
    Catalog #
    PTM-6496
    Host
    Rabbit
    Clonality
    Recombinant Monoclonal
    Conjugate
    Unconjugated
    Reactivity
    Human,Mouse,Rat
    Applications:
    WB
    IHC-P
    ICC/IF
    FC
    IAP
    IP
    ChIP
    mIHC-P
    CUT&Tag
  • Recombinant Rabbit Monoclonal
    $290
    Catalog #
    PTM-6272
    Host
    Rabbit
    Clonality
    Recombinant Monoclonal
    Conjugate
    Unconjugated
    Reactivity
    Human,Mouse,Rat
    Applications:
    WB
    IHC-P
    ICC/IF
    FC
    IAP
    IP
    ChIP
    mIHC-P
    CUT&Tag
  • Recombinant Rabbit Monoclonal
    $280
    Catalog #
    PTM-6125
    Host
    Rabbit
    Clonality
    Recombinant Monoclonal
    Conjugate
    Unconjugated
    Reactivity
    Human,Mouse,Rat
    Applications:
    WB
    IHC-P
    ICC/IF
    FC
    IAP
    IP
    ChIP
    mIHC-P
    CUT&Tag
  • Recombinant Rabbit Monoclonal
    $285
    Catalog #
    PTM-6278
    Host
    Rabbit
    Clonality
    Recombinant Monoclonal
    Conjugate
    Unconjugated
    Reactivity
    Human
    Applications:
    WB
    IHC-P
    ICC/IF
    FC
    IAP
    IP
    ChIP
    mIHC-P
    CUT&Tag
  • Recombinant Rabbit Monoclonal
    $290
    Catalog #
    PTM-6318
    Host
    Rabbit
    Clonality
    Recombinant Monoclonal
    Conjugate
    Unconjugated
    Reactivity
    Human,Mouse,Rat
    Applications:
    WB
    IHC-P
    ICC/IF
    FC
    IAP
    IP
    ChIP
    mIHC-P
    CUT&Tag
  • Recombinant Rabbit Monoclonal
    $290
    Catalog #
    PTM-6205
    Host
    Rabbit
    Clonality
    Recombinant Monoclonal
    Conjugate
    Unconjugated
    Reactivity
    Human
    Applications:
    WB
    IHC-P
    ICC/IF
    FC
    IAP
    IP
    ChIP
    mIHC-P
    CUT&Tag
  • Recombinant
    $280
    Catalog #
    PTM-6043
    Host
    Mouse
    Clonality
    Recombinant Monoclonal
    Conjugate
    Unconjugated
    Reactivity
    Human,Mouse,Rat
    Applications:
    WB
    IHC-P
    ICC/IF
    FC
    IAP
    IP
    ChIP
    mIHC-P
    CUT&Tag
  • Recombinant
    $280
    Catalog #
    PTM-5786
    Host
    Mouse
    Clonality
    Recombinant Monoclonal
    Conjugate
    Unconjugated
    Reactivity
    Human,Rat
    Applications:
    WB
    IHC-P
    ICC/IF
    FC
    IAP
    IP
    ChIP
    mIHC-P
    CUT&Tag
  • Recombinant Rabbit Monoclonal
    $290
    Catalog #
    PTM-5676
    Host
    Rabbit
    Clonality
    Recombinant Monoclonal
    Conjugate
    Unconjugated
    Reactivity
    Human
    Applications:
    WB
    IHC-P
    ICC/IF
    FC
    IAP
    IP
    ChIP
    mIHC-P
    CUT&Tag
  • Recombinant
    $280
    Catalog #
    PTM-5960
    Host
    Mouse
    Clonality
    Recombinant Monoclonal
    Conjugate
    Unconjugated
    Reactivity
    Human,Mouse,Rat
    Applications:
    WB
    IHC-P
    ICC/IF
    FC
    IAP
    IP
    ChIP
    mIHC-P
    CUT&Tag
  • Recombinant
    $280
    Catalog #
    PTM-5938
    Host
    Mouse
    Clonality
    Recombinant Monoclonal
    Conjugate
    Unconjugated
    Reactivity
    Human,Mouse
    Applications:
    WB
    IHC-P
    ICC/IF
    FC
    IAP
    IP
    ChIP
    mIHC-P
    CUT&Tag
  • Recombinant Rabbit Monoclonal
    $290
    Catalog #
    PTM-5980
    Host
    Rabbit
    Clonality
    Recombinant Monoclonal
    Conjugate
    Unconjugated
    Reactivity
    Human,Mouse,Rat
    Applications:
    WB
    IHC-P
    ICC/IF
    FC
    IAP
    IP
    ChIP
    mIHC-P
    CUT&Tag
  • Recombinant Rabbit Monoclonal
    $290
    Catalog #
    PTM-5227
    Host
    Rabbit
    Clonality
    Recombinant Monoclonal
    Conjugate
    Unconjugated
    Reactivity
    Human,Mouse,Rat
    Applications:
    WB
    IHC-P
    ICC/IF
    FC
    IAP
    IP
    ChIP
    mIHC-P
    CUT&Tag
  • Recombinant Rabbit Monoclonal
    $280
    Catalog #
    PTM-5947
    Host
    Rabbit
    Clonality
    Recombinant Monoclonal
    Conjugate
    Unconjugated
    Reactivity
    Human,Mouse
    Applications:
    WB
    IHC-P
    ICC/IF
    FC
    IAP
    IP
    ChIP
    mIHC-P
    CUT&Tag
  • Recombinant
    $280
    Catalog #
    PTM-5195
    Host
    Mouse
    Clonality
    Recombinant Monoclonal
    Conjugate
    Unconjugated
    Reactivity
    Human,Mouse,Rat
    Applications:
    WB
    IHC-P
    ICC/IF
    FC
    IAP
    IP
    ChIP
    mIHC-P
    CUT&Tag
  • Recombinant
    $280
    Catalog #
    PTM-5021
    Host
    Mouse
    Clonality
    Recombinant Monoclonal
    Conjugate
    Unconjugated
    Reactivity
    Human,Mouse
    Applications:
    WB
    IHC-P
    ICC/IF
    FC
    IAP
    IP
    ChIP
    mIHC-P
    CUT&Tag
  • Recombinant
    $280
    Catalog #
    PTM-5308
    Host
    Mouse
    Clonality
    Recombinant Monoclonal
    Conjugate
    Unconjugated
    Reactivity
    Human
    Applications:
    WB
    IHC-P
    ICC/IF
    FC
    IAP
    IP
    ChIP
    mIHC-P
    CUT&Tag
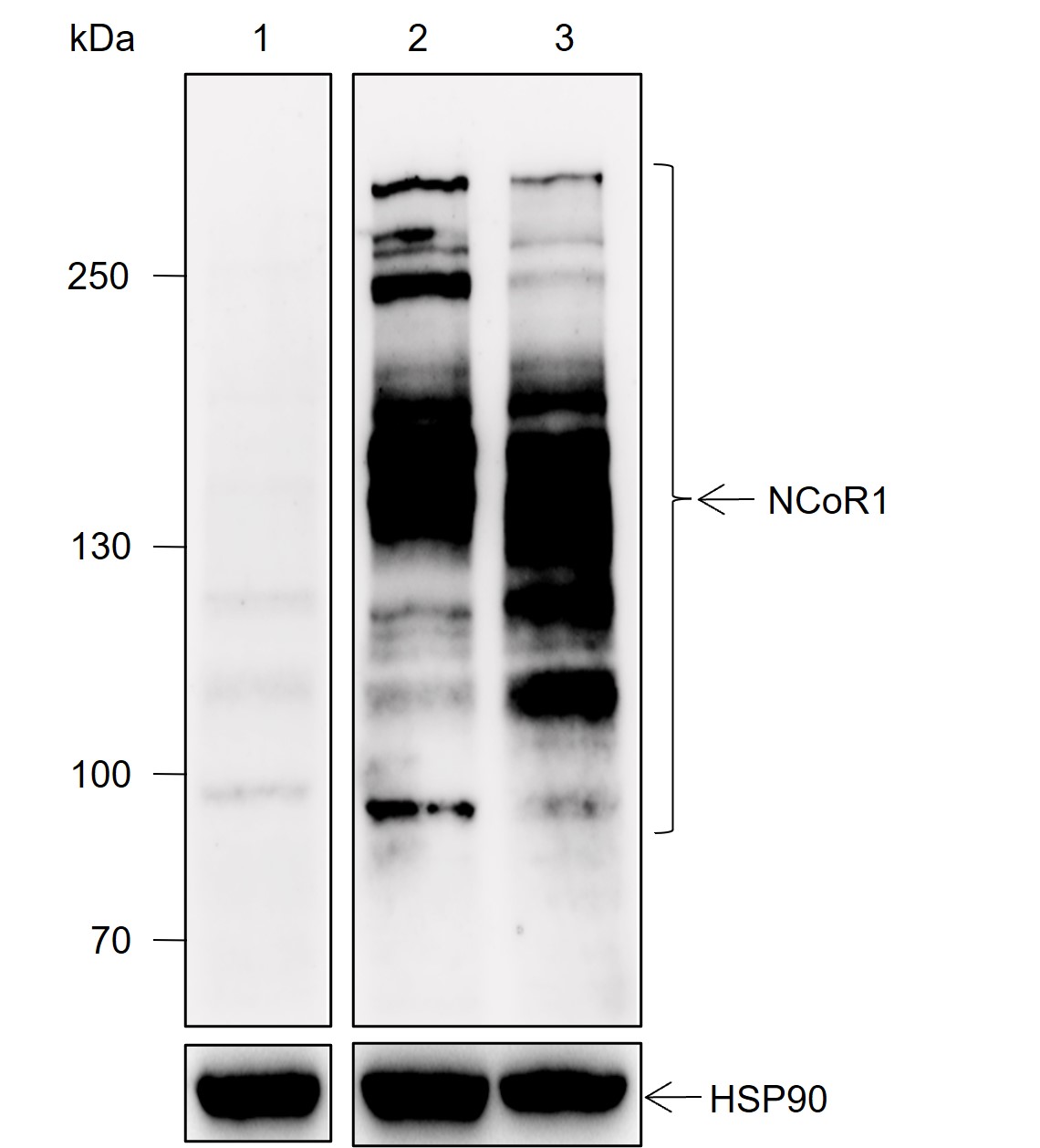
Besides Histone modifications, chromatin remodeling complexes containing a series of ATP-dependent remodeling enzymes can also dynamically modify the chromatin architecture by sliding, ejecting, or restructuring nucleosomes. BRG1-associated factor complex (BAF), imitation switch (ISWI), chromodomain-helicase DNA-binding protein (CHD), and inositol-requiring mutant 80 (INO80) are four ATP-dependent chromatin remodeling complex families known in mammals.
  • Recombinant Rabbit Monoclonal
    $280
    Catalog #
    PTM-7336
    Host
    Rabbit
    Clonality
    Recombinant Monoclonal
    Conjugate
    Unconjugated
    Reactivity
    Human,Mouse,Rat
    Applications:
    WB
    IHC-P
    ICC/IF
    FC
    IAP
    IP
    ChIP
    mIHC-P
    CUT&Tag
  • Recombinant Rabbit Monoclonal
    $280
    Catalog #
    PTM-7344
    Host
    Rabbit
    Clonality
    Recombinant Monoclonal
    Conjugate
    Unconjugated
    Reactivity
    Human,Mouse,Rat
    Applications:
    WB
    IHC-P
    ICC/IF
    FC
    IAP
    IP
    ChIP
    mIHC-P
    CUT&Tag
  • Recombinant Rabbit Monoclonal
    $280
    Catalog #
    PTM-7111
    Host
    Rabbit
    Clonality
    Recombinant Monoclonal
    Conjugate
    Unconjugated
    Reactivity
    Human,Rat
    Applications:
    WB
    IHC-P
    ICC/IF
    FC
    IAP
    IP
    ChIP
    mIHC-P
    CUT&Tag
  • Recombinant Rabbit Monoclonal
    $280
    Catalog #
    PTM-6982
    Host
    Rabbit
    Clonality
    Recombinant Monoclonal
    Conjugate
    Unconjugated
    Reactivity
    Human,Mouse,Rat
    Applications:
    WB
    IHC-P
    ICC/IF
    FC
    IAP
    IP
    ChIP
    mIHC-P
    CUT&Tag
  • Recombinant Rabbit Monoclonal
    $280
    Catalog #
    PTM-6889
    Host
    Rabbit
    Clonality
    Recombinant Monoclonal
    Conjugate
    Unconjugated
    Reactivity
    Human,Mouse,Rat
    Applications:
    WB
    IHC-P
    ICC/IF
    FC
    IAP
    IP
    ChIP
    mIHC-P
    CUT&Tag
  • $290
    Catalog #
    PTM-6762
    Host
    Rabbit
    Clonality
    Polyclonal
    Conjugate
    Unconjugated
    Reactivity
    Human
    Applications:
    WB
    IHC-P
    ICC/IF
    FC
    IAP
    IP
    ChIP
    mIHC-P
    CUT&Tag
  • Recombinant Rabbit Monoclonal
    $280
    Catalog #
    PTM-6377
    Host
    Rabbit
    Clonality
    Recombinant Monoclonal
    Conjugate
    Unconjugated
    Reactivity
    Human,Rat
    Applications:
    WB
    IHC-P
    ICC/IF
    FC
    IAP
    IP
    ChIP
    mIHC-P
    CUT&Tag
  • Recombinant
    $280
    Catalog #
    PTM-6038
    Host
    Mouse
    Clonality
    Recombinant Monoclonal
    Conjugate
    Unconjugated
    Reactivity
    Human,Mouse,Rat
    Applications:
    WB
    IHC-P
    ICC/IF
    FC
    IAP
    IP
    ChIP
    mIHC-P
    CUT&Tag
  • Recombinant Rabbit Monoclonal
    $280
    Catalog #
    PTM-5842
    Host
    Rabbit
    Clonality
    Recombinant Monoclonal
    Conjugate
    Unconjugated
    Reactivity
    Human,Mouse
    Applications:
    WB
    IHC-P
    ICC/IF
    FC
    IAP
    IP
    ChIP
    mIHC-P
    CUT&Tag
  • Recombinant
    $280
    Catalog #
    PTM-5826
    Host
    Mouse
    Clonality
    Recombinant Monoclonal
    Conjugate
    Unconjugated
    Reactivity
    Human,Rat
    Applications:
    WB
    IHC-P
    ICC/IF
    FC
    IAP
    IP
    ChIP
    mIHC-P
    CUT&Tag
Nuclear receptors are a family of transcription factors which can influence epigenetic regulation in cancer and are involved in many forms of cancer.
  • Recombinant Rabbit Monoclonal
    $280
    Catalog #
    PTM-7328
    Host
    Rabbit
    Clonality
    Recombinant Monoclonal
    Conjugate
    Unconjugated
    Reactivity
    Human
    Applications:
    WB
    IHC-P
    ICC/IF
    FC
    IAP
    IP
    ChIP
    mIHC-P
    CUT&Tag
  • Recombinant Rabbit Monoclonal
    $280
    Catalog #
    PTM-7383
    Host
    Rabbit
    Clonality
    Recombinant Monoclonal
    Conjugate
    Unconjugated
    Reactivity
    Human
    Applications:
    WB
    IHC-P
    ICC/IF
    FC
    IAP
    IP
    ChIP
    mIHC-P
    CUT&Tag
  • Recombinant Rabbit Monoclonal
    $130
    Catalog #
    PTM-7461
    Host
    Rabbit
    Clonality
    Recombinant Monoclonal
    Conjugate
    Unconjugated
    Reactivity
    Human,Mouse,Rat
    Applications:
    WB
    IHC-P
    ICC/IF
    FC
    IAP
    IP
    ChIP
    mIHC-P
    CUT&Tag
  • Recombinant
    $125
    Catalog #
    PTM-6042
    Host
    Mouse
    Clonality
    Recombinant Monoclonal
    Conjugate
    Unconjugated
    Reactivity
    Human,Mouse,Rat
    Applications:
    WB
    IHC-P
    ICC/IF
    FC
    IAP
    IP
    ChIP
    mIHC-P
    CUT&Tag
  • $310
    Catalog #
    PTM-6970
    Host
    Rabbit
    Clonality
    Polyclonal
    Conjugate
    Unconjugated
    Reactivity
    Human,Mouse,Rat
    Applications:
    WB
    IHC-P
    ICC/IF
    FC
    IAP
    IP
    ChIP
    mIHC-P
    CUT&Tag
  • Recombinant
    $285
    Catalog #
    PTM-5863
    Host
    Mouse
    Clonality
    Recombinant Monoclonal
    Conjugate
    Unconjugated
    Reactivity
    Human
    Applications:
    WB
    IHC-P
    ICC/IF
    FC
    IAP
    IP
    ChIP
    mIHC-P
    CUT&Tag
  • Recombinant
    $285
    Catalog #
    PTM-5097
    Host
    Mouse
    Clonality
    Recombinant Monoclonal
    Conjugate
    Unconjugated
    Reactivity
    Human,Mouse,Rat
    Applications:
    WB
    IHC-P
    ICC/IF
    FC
    IAP
    IP
    ChIP
    mIHC-P
    CUT&Tag
  • Recombinant
    $290
    Catalog #
    PTM-5409
    Host
    Mouse
    Clonality
    Recombinant Monoclonal
    Conjugate
    Unconjugated
    Reactivity
    Human,Mouse
    Applications:
    WB
    IHC-P
    ICC/IF
    FC
    IAP
    IP
    ChIP
    mIHC-P
    CUT&Tag
  • Recombinant Rabbit Monoclonal
    $300
    Catalog #
    PTM-5734
    Host
    Rabbit
    Clonality
    Recombinant Monoclonal
    Conjugate
    Unconjugated
    Reactivity
    Human,Mouse,Rat
    Applications:
    WB
    IHC-P
    ICC/IF
    FC
    IAP
    IP
    ChIP
    mIHC-P
    CUT&Tag
  • $300
    Catalog #
    PTM-5735
    Host
    Rabbit
    Clonality
    Recombinant Monoclonal
    Conjugate
    Unconjugated
    Reactivity
    Human
    Applications:
    WB
    IHC-P
    ICC/IF
    FC
    IAP
    IP
    ChIP
    mIHC-P
    CUT&Tag

Would you like to see other products?

View all products